
牙齿矫正后竟然会反弹 这是真的吗 每日头条
Mrc功能性齒顎矯正 牙齒是要跟一輩子的 所以要好好照顧 Samantha和四胞胎

兒童牙齒矯正黃金期是何時 牙齒矯正的藝術 Dr 珊 台中隱適美隱形矯正


Mrc功能性齒顎矯正 兒童牙齒矯正 10y3m小露開始矯正第一階段 結婚 幸福 痞客邦

兒童口呼吸嘴巴開開關不起來 如何兒童矯正口腔習慣 林記賢醫師

记录5岁半娃开始mrc矫正 照片 视频 篱笆社区手机版

9y6m 邱言言mrc矯正 第一階段mrc功能矯正器 希望可以成功改善齒列不整及咬合不正 花蓮mrc矯正 花蓮兒童矯正 Mrc矯正費用 Mrc效果 雨立今 霠

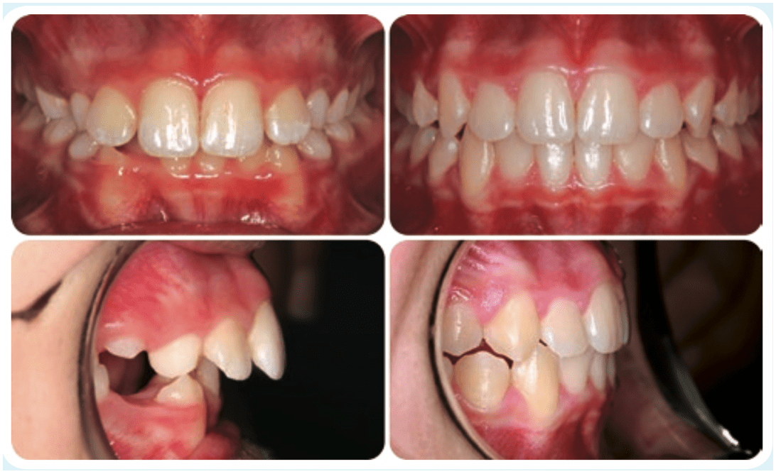
儿童早期矫治 Mrc究竟是什么神器 蜜颜整形优惠

9y6m 邱言言mrc矯正 第一階段mrc功能矯正器 希望可以成功改善齒列不整及咬合不正 花蓮mrc矯正 花蓮兒童矯正 Mrc矯正費用 Mrc效果 雨立今 霠

Mrc是什麼 兒童牙齒矯正到底該不該做mrc Dr 珊 兒童隱適美專家

别被骗 想矫正牙齿 先看看什么样的矫正才是合格的 每日头条
Tags:
Archive